TP HCMBé Hiền, một tuổi, nhập viện trong tình trạng khó thở, suy hô hấp, phổi khò khè, xét nghiệm dương tính virus hợp bào hô hấp (RSV).
BS.CKI Nguyễn Thị Hạnh Trang, Phó khoa Nhi, cho biết RSV xâm nhập qua đường hô hấp, nhân lên trong tế bào biểu mô đường hô hấp, phá hủy lông mao và tế bào, gây viêm, tăng tiết nhầy, làm tắc nghẽn đường thở khiến trẻ ho, khò khè, khó thở. Trẻ bị nhiễm RSV thường nhập viện với tình trạng viêm tiểu phế quản cấp, viêm phổi. Bé thở gắng sức lâu dài sẽ khiến cơ hô hấp quá tải, suy giảm chức năng phổi.

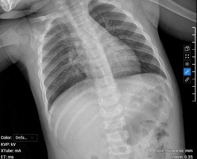
Kết quả chụp X-quang cho thấy phổi bé Hiền bị ứ khí, gây khó thở, khò khè. Ảnh: Bệnh viện Đa khoa Tâm Anh
Bé được dùng kháng sinh để điều trị bội nhiễm, kết hợp vật lý trị liệu hô hấp để tống đờm, giúp bé dễ thở hơn, xuất viện sau 9 ngày.
Bác sĩ Trang cho biết thông thường thời gian nằm viện do bệnh viêm tiểu phế quản, viêm phổi khoảng 5-7 ngày. Bé Hiền do nhiễm RSV gây suy hô hấp nên thời gian nằm viện kéo dài hơn.
RSV là một trong những nguyên nhân phổ biến gây bệnh đường hô hấp ở trẻ. Ở miền Nam, RSV thường lưu hành từ tháng 5 đến tháng 11 hàng năm. Các tháng còn lại, RSV vẫn tồn tại âm thầm trong cộng đồng ở mức độ thấp.
Bệnh thường khởi phát sau 4-6 ngày nhiễm virus, biểu hiện thường là sổ mũi, ngạt mũi, ho khan, sốt nhẹ hoặc không sốt, đau họng, bú kém… Giai đoạn tiến triển nặng, trẻ sẽ ho nhiều, thở khò khè, nhịp thở nhanh, thở gấp, trẻ mệt mỏi, li bì, quấy khóc. Nhóm trẻ sinh non, dưới 6 tháng tuổi, có bệnh tim bẩm sinh hoặc phổi mạn tính, hệ miễn dịch suy yếu sẽ có nguy cơ diễn tiến nặng cao. Tuy nhiên, ở nhóm trẻ khỏe mạnh, bệnh vẫn có thể diễn tiến nặng khi nhiễm RSV do đường thở nhỏ, hệ miễn dịch đang trong quá trình hoàn thiện. Các yếu tố như tải lượng virus lớn, bội nhiễm vi khuẩn, tác động của yếu tố môi trường như khói thuốc lá… cũng khiến bệnh nặng hơn.
Phụ huynh có thể phòng ngừa bệnh bằng cách giữ gìn vệ sinh chung, rửa tay bằng xà phòng trước khi chăm sóc trẻ. Hạn chế cho trẻ đến nơi đông người, tránh tiếp xúc với người đang bị ho, sổ mũi, lau chùi nhà cửa, đồ chơi…
Hiện tại, tiêm kháng thể đơn dòng là biện pháp hiệu quả để bảo vệ sức khỏe trẻ với căn bệnh này, theo bác sĩ Trang.
Đình Lâm
*Tên nhân vật trong bài đã được thay đổi
| Độc giả gửi câu hỏi về nhi sơ sinh tại đây để bác sĩ giải đáp |

















