TP HCMÔng Sang, 53 tuổi, ung thư thanh quản giai đoạn muộn, thay vì cắt bỏ toàn bộ thanh quản, bác sĩ phẫu thuật cắt bán phần, tái tạo dây thanh, bảo tồn giọng nói.
Ông Sang có dấu hiệu khàn giọng, mất giọng từ 9 tháng trước, nghĩ do tính chất công việc là giáo viên phải nói nhiều dễ viêm thanh quản nên tự uống thuốc nhưng không cải thiện. Khám tại bệnh viện gần nhà, ông Sang được chẩn đoán ung thư thanh quản giai đoạn cuối và có chỉ định phẫu thuật cắt toàn bộ thanh quản, tiên lượng nguy cơ mất khả năng nói. Ông đi khám thêm nhiều nơi, tìm cách bảo tồn giọng nói.
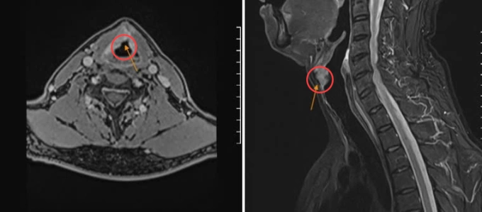
Kết quả nội soi họng thanh quản, chụp MRI tại Bệnh viện Đa khoa Tâm Anh TP HCM cho thấy hai dây thanh của ông Sang sung huyết, khối u sùi ở dây thanh môn mép trước, kích thước 20x18x14 mm và một số hạch cổ đường kính lớn nhất 6 mm. Sinh thiết khối u cho kết quả ung thư thanh quản dạng biểu mô tế bào vảy.
GS.TS.BS Trần Phan Chung Thủy, Giám đốc Trung tâm Tai Mũi Họng, Bệnh viện Đa khoa Tâm Anh TP HCM, cho biết tổn thương (u ác tính) đã lan vào sụn giáp bên phải nhưng chưa di căn hạch.

Chụp MRI ghi nhận khối u dây thanh phải xâm lấn sụn giáp. Ảnh: Bệnh viện Đa khoa Tâm Anh
Sau hội chẩn sâu, giáo sư Chung Thủy quyết định cắt bán phần dây thanh, tái tạo để bảo tồn giọng nói cho bệnh nhân, thay vì cắt toàn bộ thanh quản với nguy cơ mất hoàn toàn chức năng thanh quản. Bác sĩ mở khí quản, cắt phần sụn giáp trán bên phải – vị trí khối u xâm lấn và bóc tách trọn khối u trong lòng thanh quản, đảm bảo giữ tối đa mô lành và cấu trúc chức năng. 4 mẫu bệnh phẩm được lấy để sinh thiết lạnh cho thấy các diện cắt đều âm tính, không còn tế bào ung thư. Giáo sư Chung Thủy tái tạo dây thanh cho người bệnh bằng nếp thanh thất, khâu vạt cơ dưới móng che kín vùng sụn giáp bị khuyết, bảo tồn chức năng thanh quản.
Theo giáo sư Chung Thủy, nếu không tái tạo dây thanh, người bệnh có thể mất giọng hoàn toàn do dây thanh không còn khả năng rung đối xứng, dễ sặc khi nuốt, ảnh hưởng chức năng hô hấp lâu dài. Kỹ thuật tái tạo dây thanh, bảo tồn chức năng thanh quản giúp bác sĩ vừa lấy trọn khối u, vừa giữ lại các mô lành để tạo hình dây thanh, phục hồi cấu trúc thanh quản tinh tế nhất có thể. Từ đó, ngăn không khí và dịch tràn ra ngoài, bảo tồn chức năng nói, hô hấp của thanh quản, người bệnh không cần mở khí quản vĩnh viễn.
Hậu phẫu 6 ngày, sức khỏe người bệnh ổn định, vết mổ lành thương tốt, xuất viện. Tái khám đều đặn, chức năng hô hấp và nuốt được bảo tồn tối đa, bệnh nhân có thể giao tiếp bằng giọng nói nhẹ, nhỏ. Dự kiến giọng nói sẽ hồi phục sau khoảng 2-3 tháng. “Tôi rất vui vì giữ được giọng nói, còn theo nghề giáo được”, ông Sang nói.
Kết quả giải phẫu bệnh khối u sau phẫu thuật xác định người bệnh ung thư thanh quản giai đoạn T2, không cần hóa trị hay xạ trị sau đó. Tuy nhiên, người bệnh cần tái khám đều đặn để theo dõi và không được hút thuốc, uống rượu bia.

Giáo sư Chung Thủy (ngoài cùng bên phải) đang phẫu thuật cho ông Sang. Ảnh: Bệnh viện Đa khoa Tâm Anh
Một số yếu tố làm tăng nguy cơ ung thư thanh quản như hút thuốc lá, tiếp xúc với khói thuốc lá thụ động trong thời gian dài, lạm dụng rượu, di truyền, thường xuyên tiếp xúc với các hóa chất như asbestos hoặc là bụi than… Triệu chứng bệnh thường là khàn tiếng, gần giống với triệu chứng viêm họng, viêm thanh quản thông thường nên dễ bị bỏ qua. Người bệnh có thể bị ho khan, khạc đờm, khó chịu ở họng, cảm giác như có dị vật ở họng, khó thở thanh quản rối loạn nuốt.
Ung thư thanh quản được phát hiện sớm hơn, khi khối u còn nhỏ, khu trú tại dây thanh và chưa xâm lấn ra các mô xung quanh, bác sĩ sẽ phẫu thuật nội soi qua đường miệng sử dụng laser CO2 với chùm tia sáng năng lượng cao để loại bỏ khối u, bảo tồn chức năng thanh quản (hô hấp, nói). Khi bệnh phát hiện muộn, khối u xâm lấn sâu hoặc lan sang sụn giáp, bác sĩ buộc phải áp dụng phẫu thuật mở, cắt rộng tổn thương và tái tạo thanh quản.
Giáo sư Chung Thủy khuyên mỗi người nên bỏ thuốc lá, hạn chế rượu bia, tránh tiếp xúc nhiều với hóa chất công nghiệp. Nếu có triệu chứng bất thường, khàn giọng hơn hai tuần, ho dai dẳng, nuốt đau… nên đến các cơ sở y tế chuyên sâu tai mũi họng để khám, nội soi, chẩn đoán và điều trị phù hợp.
Uyên Trinh
Tên bệnh nhân đã được thay đổi
| Độc giả đặt câu hỏi về bệnh tai mũi họng tại đây để bác sĩ giải đáp |



















