TP HCMBà Kim, 63 tuổi, có khối u cơ mỡ bao quanh thận, được bác sĩ dùng robot phẫu thuật cắt trọn u, giữ lại thận.
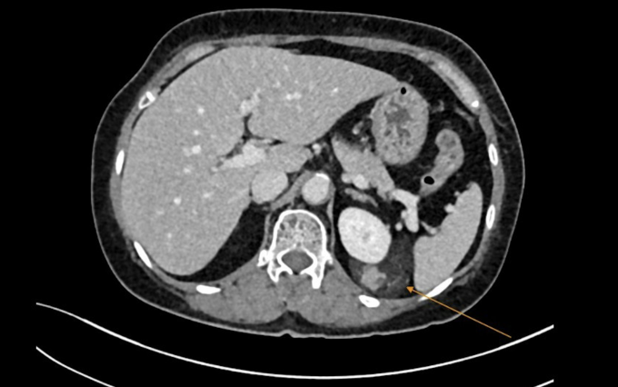
U kích thước khoảng 4×8 cm ở thận trái song bà Kim không đau, không sốt, không tiểu máu. Ảnh chụp cắt lớp vi tính (CT) cho thấy khối u xuất phát từ một phần nhu mô thận rồi lan rộng ra xung quanh, bao lấy thận, kèm theo nhiều mạch máu tăng sinh dị dạng.
ThS.BS Nguyễn Tân Cương, Phó khoa Tiết niệu, Trung tâm Tiết niệu – Thận học – Nam khoa, Bệnh viện Đa khoa Tâm Anh TP HCM, cho rằng khả năng đây là u cơ mỡ mạch thận – một loại u thận lành tính. Khối u cơ mỡ mạch thận dưới 4 cm thường không gây triệu chứng và rất ít khi chảy máu, người bệnh chỉ cần theo dõi định kỳ. Tuy nhiên, khối u của bà Kim đường kính gần 8 cm, các mạch máu tăng sinh nhiều rất dễ chảy máu tự phát, gây đau hông lưng dữ dội do hình thành khối máu tụ quanh thận – một tình trạng cấp cứu nguy hiểm.

Vị trí khối u cơ mỡ của bà Kim. Ảnh: Bệnh viện Đa khoa Tâm Anh
Khối u bao phủ trên bề mặt thận, một phần phát triển lên cực trên và ra mặt sau thận, vùng mổ hạn chế, khó tiếp cận nên bác sĩ tiên lượng phẫu thuật khó khăn, bệnh nhân nguy cơ chảy máu. Bác sĩ Cương chỉ định phẫu thuật bằng robot Da Vinci Xi giúp phẫu tích chính xác trong vùng mổ hẹp, bệnh nhân giảm nguy cơ mất máu.
Bác sĩ điều khiển 4 cánh tay robot cô lập và xử lý các mạch máu tăng sinh, sau đó bóc tách và cắt bỏ toàn bộ lớp u cơ mỡ bao quanh thận, bảo tồn tối đa chức năng thận cho bệnh nhân. Sau mổ, bà Kim hồi phục tốt, tập đi lại sau hai ngày, sức khỏe ổn định.

Bác sĩ Cương cùng êkíp phẫu thuật cắt u mỡ cho bà Kim. Ảnh: Bệnh viện Đa khoa Tâm Anh
U cơ mỡ mạch có liên quan mật thiết đến hội chứng xơ cứng củ. Đây là bệnh di truyền do đột biến gene TSC1 hoặc TSC2, cũng có thể gặp ở phụ nữ mắc bệnh phổi thâm nhiễm cơ trơn. Đa phần bệnh diễn tiến âm thầm, không triệu chứng, một số trường hợp có thể bị đau hông lưng, tiểu máu, nhiễm khuẩn hoặc sờ thấy khối u.
Điều trị u cơ mỡ mạch thận phụ thuộc vào kích thước khối u, tốc độ phát triển và mức độ ảnh hưởng đến thận. Khi khối u của người bệnh lớn hơn 4 cm, bác sĩ chỉ định can thiệp nút mạch hoặc phẫu thuật. Nút mạch làm giảm kích thước khối u và nguy cơ xuất huyết. Phẫu thuật là giải pháp triệt để loại bỏ khối u. Sau mổ, người bệnh cần tái khám và theo dõi định kỳ, phát hiện sớm nếu u tái phát để can thiệp hiệu quả.
Hà Thanh
*Tên người bệnh đã được thay đổi



















