
Theo các nghiên cứu cộng đồng, tỷ lệ thoái hóa đĩa đệm tăng mạnh theo tuổi, khoảng 18,8% ở nhóm 40-49 tuổi và lên tới 83,4% ở người trên 60 tuổi.
Tuy nhiên, hiện nay độ tuổi mắc bệnh đang có xu hướng trẻ hóa rõ rệt, phổ biến trong nhóm 25-40 tuổi, nhiều bệnh nhân mới 20-30 tuổi, thậm chí là học sinh, đã phải điều trị vì tổn thương cột sống nặng, ảnh hưởng nghiêm trọng đến sức khỏe và khả năng lao động.
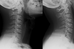
Bệnh nhi B.G.H. (15 tuổi, xã Lai Đồng, Phú Thọ) là một ví dụ điển hình. Ban đầu, em chỉ cảm thấy tê cứng nhẹ vùng lưng. Theo thời gian, các cơn đau tăng dần, nhất là khi bệnh nhân vận động mạnh. Đến khi cơn đau vượt quá sức chịu đựng, gia đình đưa em đi khám tại Bệnh viện Đa khoa tỉnh Phú Thọ và bất ngờ khi nhận kết luận thoái hóa đốt sống kèm thoát vị đĩa đệm nặng.
“Lúc đầu, cháu chỉ đau thoáng qua nhưng càng về sau càng tê nhức nhiều hơn, đi đứng hay ngồi đều không thoải mái, có lúc người bị tê cứng lại”, H. chia sẻ.
Sử dụng điện thoại, máy tính trong thời gian dài
BSCKII Phan Thanh Hải, Phó Trưởng khoa Ngoại Thần kinh, Bệnh viện Đa khoa tỉnh Phú Thọ cho biết, số bệnh nhân trẻ thoát vị đĩa đệm đang gia tăng rõ rệt. Theo đó, có những bệnh nhân mới 15 tuổi đã bị thoát vị nặng, phải điều trị dài ngày.
Theo BSCKII Hà Xuân Tài, Trưởng khoa Ngoại Thần kinh, Bệnh viện Đa khoa tỉnh Phú Thọ, thoát vị đĩa đệm xảy ra do nhiều nguyên nhân như thoái hóa, chấn thương hoặc áp lực quá mức lên cột sống.
“Ngoài ra, lối sống hiện đại là yếu tố thúc đẩy bệnh ở người trẻ. Việc sử dụng điện thoại, máy tính trong thời gian dài, cúi gập cổ quá mức, ngồi sai tư thế, ít vận động hoặc tập luyện quá sức đều làm tăng áp lực lên đĩa đệm, dẫn đến thoát vị ở người trẻ. Nhóm đối tượng có nguy cơ cao bao gồm nhân viên văn phòng ngồi lâu, người lao động nặng, người ít vận động hoặc tập thể thao không đúng cách. Các triệu chứng thường gặp là đau mỏi cột sống cổ hoặc thắt lưng, co cứng cơ, tê bì tay chân, thậm chí có tiếng lạo xạo khi cử động”, bác sĩ Tài phân tích.
Theo các chuyên gia, nếu không được phát hiện và điều trị kịp thời, thoát vị đĩa đệm có thể gây chèn ép rễ thần kinh nghiêm trọng, dẫn đến liệt vận động, mất cảm giác, teo cơ. Trường hợp nặng còn có thể rối loạn cơ tròn, đại tiểu tiện không tự chủ, ảnh hưởng nghiêm trọng đến chất lượng cuộc sống, thậm chí tàn phế.
Các bác sĩ khuyến cáo, người trẻ không nên chủ quan khi có dấu hiệu đau lưng, đau cổ kéo dài. Cần đến cơ sở y tế để được thăm khám và điều trị sớm.
Bên cạnh đó, việc điều chỉnh tư thế sinh hoạt đúng cách, ngồi, đứng khoa học, hạn chế cúi gập cổ, tăng cường vận động hợp lý chính là “chìa khóa” giúp bảo vệ cột sống, tránh nguy cơ mắc bệnh khi tuổi đời còn rất trẻ.

Anh M. bị viêm cột sống dính khớp suốt 7 năm khiến cột sống biến dạng, cong như cành cây. Các bác sĩ đã phẫu thuật duỗi thẳng lưng cho bệnh nhân.

Người trẻ với cuộc sống tiện nghi, ngồi một tư thế kéo dài dẫn đến đau cột sống, vai gáy trầm trọng như cột sống lão hóa của tuổi già.

Một nam nhân viên văn phòng 26 tuổi đã phải tìm đến bác sĩ vì tình trạng đau cổ vai gáy kéo dài. Kết quả chiếu chụp ghi nhận cột sống của bệnh nhân “thẳng như cây gậy”.















