Ngày 31/1, Bệnh viện Đa khoa Vĩnh Phúc (Phú Thọ) thông tin, các bác sĩ tại đây vừa tiếp nhận cấp cứu một trường hợp nhiễm nấm đen xâm lấn não, là bệnh lý nhiễm nấm xâm lấn hiếm gặp nhưng đặc biệt nguy hiểm, có thể đe dọa tính mạng.
Ông N.V.N (52 tuổi) có tiền sử đái tháo đường type II. Khi nhập viện, người bệnh trong tình trạng hôn mê kèm theo liệt nửa người trái, thất ngôn và nôn nhiều, biểu hiện tổn thương thần kinh trung ương nặng.
Kết quả chụp CT cho thấy hình ảnh phù não và xuất huyết não và tổn thương viêm và áp xe hai phổi, gợi ý tình trạng nhiễm trùng lan tỏa. Các xét nghiệm máu cho thấy người bệnh bị nhiễm trùng nặng kèm toan chuyển hóa.
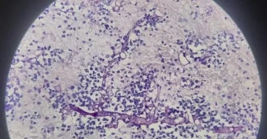
Trước diễn biến nguy kịch, người bệnh được chỉ định phẫu thuật cấp cứu lấy khối máu tụ não. Mẫu bệnh phẩm được gửi làm xét nghiệm giải phẫu bệnh. Kết quả cho thấy hoại tử mô não lan rộng, kèm theo nhiều sợi nấm kích thước lớn. Các bác sĩ chẩn đoán áp xe não do nhiễm nấm xâm lấn, hướng đến nấm đen.

Sau phẫu thuật, người bệnh được chuyển đến Bệnh viện Bệnh Nhiệt đới Trung ương (Hà Nội) để tiếp tục điều trị chuyên sâu. Xét nghiệm PCR sau đó xác định người bệnh nhiễm nấm thuộc bộ Mucorales, qua đó khẳng định chẩn đoán nấm đen xâm lấn hệ thần kinh trung ương.
Bệnh nấm đen là một nhiễm trùng nấm xâm lấn nặng, nấm có khả năng xâm nhập trực tiếp vào thành mạch máu, gây huyết khối, làm tắc nghẽn tuần hoàn, dẫn đến thiếu máu cục bộ và hoại tử mô lan rộng, đồng thời có thể lan nhanh sang các cơ quan lân cận, bao gồm cả hệ thần kinh trung ương.
Bệnh thường tiến triển nhanh, phá hủy mô mạnh và có tỷ lệ tử vong cao nếu không được chẩn đoán và điều trị kịp thời.
Vì vậy, nấm đen được xem là một trong những bệnh nhiễm nấm nguy hiểm nhất do diễn tiến nhanh và mức độ ác tính cao.
Nấm đen có thể xâm nhập vào cơ thể người qua các con đường sau:
– Đường hô hấp: Hít phải bào tử nấm có trong không khí.
– Vết thương ngoài da: Đặc biệt là các vết trầy xước, vết thương hở tiếp xúc với đất, bụi bẩn.
– Sau can thiệp ngoại khoa hoặc thủ thuật xâm lấn: Nhất là trong bối cảnh người bệnh suy giảm miễn dịch.
Những người có nguy cơ cao như có bệnh đái tháo đường, đặc biệt khi kiểm soát đường huyết kém; suy giảm miễn dịch do bệnh lý hoặc điều trị; sử dụng corticosteroid kéo dài; sau phẫu thuật lớn hoặc đang nhiễm trùng nặng.
Các bác sĩ tại đây khuyến cáo người dân, đặc biệt là người có bệnh nền, cần đến cơ sở y tế ngay khi xuất hiện các dấu hiệu như đđầu dữ dội, sốt cao, nôn nhiều; sưng đau vùng mặt, quanh mũi hoặc hốc mắt, nghẹt mũi, chảy dịch mũi bất thường; nhìn mờ, sụp mi; yếu liệt tay chân, nói khó, rối loạn ý thức. Việc chậm trễ thăm khám có thể làm bệnh tiến triển nhanh và gây biến chứng nguy hiểm.
















