Anh Hùng có tiền sử bị tăng huyết áp điều trị thường xuyên. Ngày 30/9/2022, anh bỗng dưng thấy đau đầu dữ dội vùng thái dương, kèm buồn nôn, nôn nhiều, sợ ánh sáng. Đến khám tại khoa cấp cứu một bệnh viện trên địa bàn, anh được chẩn đoán theo dõi đau đầu do căng thẳng. Uống thuốc theo đơn của bác sĩ, tình trạng đau đầu thuyên giảm.
Tuy nhiên, anh vẫn còn lo lắng cho tình trạng sức khỏe của mình nên đã đến khám sức khỏe tổng quát tại Bệnh viện Bạch Mai. Quá trình thăm khám tình cờ phát hiện khối u vú phải nên anh được chỉ định nhập viện vào Trung tâm Y học hạt nhân và Ung bướu.

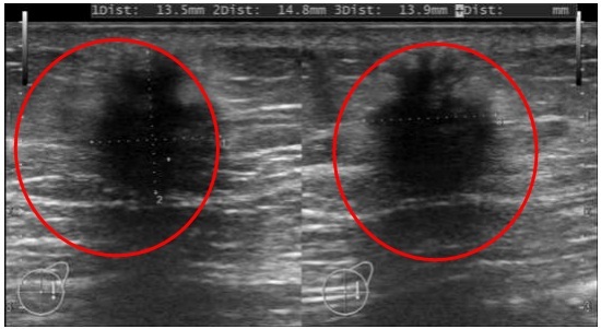
Hình ảnh siêu âm tuyến vú cho thấy có nốt giảm âm vú phải vị trí 12h, cách núm vú 5cm, kích thước 13,5×14,8×13,9mm (Ảnh: Bệnh viện cung cấp).
Tại đây, anh đã được sinh thiết u vú phải dưới hướng dẫn siêu âm ngày 4/10/2022. Kết quả mô bệnh học là tổn thương u chưa định loại.
Bệnh phẩm tiếp tục được nhuộm hóa mô miễn dịch với các dấu ấn: CK, S100, ER, PR, HER-2, Ki67, CK 5/6, Ck19, SMA. Hình ảnh mô bệnh học và kết quả hóa mô miễn dịch phù hợp với u tế bào hạt (granular cell tumor), bệnh phẩm thu được trên ca bệnh không có các tiêu chí ác tính về độ mô học, PGS.TS Phạm Cẩm Phương, Giám đốc Trung tâm Y học hạt nhân và Ung bướu – Bệnh viện Bạch Mai cho biết.
Vì thế, bệnh nhân được chẩn đoán xác định là u tế bào hạt vú phải lành tính, tăng huyết áp. Anh được hội chẩn chuyên khoa phẫu thuật lồng ngực và được chỉ định phẫu thuật cắt bỏ khối u vú phải ngày 19/10/2022.
Bệnh nhân đã được hội chẩn hội đồng đa chuyên khoa tại Trung tâm Y học hạt nhân và Ung bướu và được chỉ định theo dõi định kỳ sau phẫu thuật.
Theo GS.TS Mai Trọng Khoa, nguyên Giám đốc Trung tâm Y học hạt nhân và Ung bướu – Bệnh viện Bạch Mai, u tế bào hạt (granular cell tumor) là những khối u hiếm gặp có nguồn gốc từ tế bào schwann. U thường gặp nhất ở da, mô dưới da, khoang miệng và đường tiêu hóa. Tuy nhiên, các khối u này có thể xảy ra bất cứ ở đâu trong cơ thể, bao gồm vú, bàng quang, hệ thần kinh, đường hô hấp và hệ tiết niệu.
Loại khối u này có thể gặp ở tất cả các nhóm tuổi và giới tính, nhưng thường được tìm thấy ở nữ giới khoảng 40-60 tuổi. Những khối u tế bào hạt thường xuất hiện dưới dạng các nốt sần đơn độc, không đau, có kích thước nhỏ hơn 3-4cm và đa số phát hiện tình cờ do ít có triệu chứng trên lâm sàng.
Hiện tại chưa có báo cáo hay thống kê đầy đủ nào về số lượng cũng như tỷ lệ phát hiện u tế bào hạt trên thế giới, chủ yếu là những báo cáo về các ca hoặc chuỗi ca lâm sàng riêng rẽ. Đa số u tế bào hạt là lành tính. Tuy nhiên dựa trên những tiêu chí về mô bệnh học hoặc sự xuất hiện của các tổn thương di căn, 1-2% các tổn thương này có thể là ác tính (ung thư), tiên lượng xấu, ít lựa chọn điều trị ngoài phẫu thuật cắt bỏ.
* Tên nhân vật đã được thay đổi.










