Lạng SơnNgười đàn ông 30 tuổi dùng vòi nước rửa ôtô (áp lực cao) xịt vào hậu môn làm thủng đại tràng, nhập viện cấp cứu.
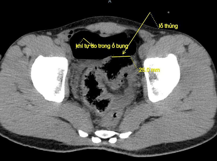
Ngày 20/10, đại diện Bệnh viện Đa khoa Lạng Sơn cho biết bệnh nhân đau bụng dữ dội, bụng chướng căng, khó thở và mệt lả. Kết quả chụp X-quang và CT thấy nhiều khí tự do trong ổ bụng bệnh nhân, bác sĩ nghi ngờ thủng tạng rỗng, chỉ định mổ cấp cứu.
Quá trình mổ, các bác sĩ ghi nhận khoảng 100 ml máu và dịch bẩn trong bụng bệnh nhân, đại tràng sigma có đoạn tổn thương dài 5 cm, thủng khoảng 2 cm và xung quanh dập nát. Bệnh nhân được cắt lọc lỗ thủng, khâu đoạn đại tràng tổn thương, làm sạch ổ bụng và đặt dẫn lưu.
Sau mổ, người bệnh tỉnh, hết đau bụng, tiếp tục điều trị.

Ảnh chụp CT ghi nhận đại tràng của bệnh nhân bị thủng. Ảnh: Bệnh viện cung cấp
Bác sĩ cảnh báo không nên sử dụng vòi xịt nước áp lực cao để xịt vào vùng hậu môn. Vòi xịt rửa ôtô có áp lực nước rất lớn, có thể gây tổn thương nghiêm trọng cho ống hậu môn, trực tràng và đại tràng. Khi luồng khí hoặc nước áp lực cao xâm nhập vào đường tiêu hóa, khí bị đẩy sâu vào ruột làm tăng áp lực trong lòng ruột và gây thủng ruột, tràn khí ổ bụng, đe dọa tính mạng người bệnh.
Mọi người chỉ nên sử dụng các loại vòi xịt vệ sinh chuyên dụng cho nhà tắm, áp lực thấp. Tuyệt đối không dùng vòi xịt rửa xe, vòi máy nén khí hay các thiết bị áp lực cao để vệ sinh vùng hậu môn – sinh dục.
Thúy Quỳnh










